![]()

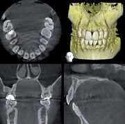
当院では、最新の歯科用CTを導入しました。
従来のレントゲン画像は平面像(二次元)でしたが、歯科用CT画像は立体画像(三次元)でみることが出来ます。
ですから、インプラントや歯周病などの診断に有効で、従来の平面画像では難しいとされた骨の幅の確認などが行えます。CT撮影で様々な角度から診断することで、正確な診査・診断に役立ち、より安全で確かな治療を行うことが可能となりました。

CT画像からは、骨の形や欠損状態がわかるだけでなく、神経の位置や向きなどもしっかり把握できますので、特に、以下のような治療で役立っています。
◆インプラント
|
◆歯周病治療
|
◆根管治療
|
◆親知らず
|
















